症例集
●
ホワイトニング
●
ラミネートベニア
●
インプラントの応用
●
セラミックのかぶせもの
ホワイトニング
▲術前
▲術後
ラミネートベニア
ラミネートベニアとは歯をほとんど削らず、コンタクトレンズのように薄いセラミックを歯の表面に貼り付ける治療方法です。歯の斑点、縞模様などの薬剤では対応できないもの、あるいは軽度の歯のねじれや形態の改善に用いられる方法です。
○利点
・歯をほとんど削らない。一番削る部分でも0.7mm程度
・麻酔を使用しない
×欠点
・歯ぎしりやかみ合わせが強い方には不向き
・神経が死んだ歯には適応になりません
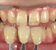
▲歯の色と隙間を主訴に来院された患者様です。
▲2週間ほどホームホワイトニングを続けた状態です。歯が白くなったところでラミネートベニア製作に入ります。
▲完成時
(色が均一になり隙間がなくなりました)
↑上に戻る
インプラントの応用
歯が多数ない場合など全てインプラントで補えれば良いですが、ご予算の問題などもございます。
例えば着脱式の総入れ歯が外れやすくお困りの方には、少数のインプラントを用いることで入れ歯の使い心地が格段に向上します。
術前
術後
笑うとバネが見える。また、お口の中をプラスチックが大きく覆うことで違和感が強い
入れ歯の面積を小さくできます。
(点線部分をなくすことで面積が小さくなります)
インプラントの上面に磁力で入れ歯が維持され、安定するようになります。
(矢印部分)
↑上に戻る
セラミックのかぶせもの(オールセラミッククラウン)
ジルコニアという人工ダイヤモンドで内面を製作した上にセラミックを重ねて製作します。
金属を使用しないため、歯茎の黒ずみや不自然な白さはなく、歯と同じような透明感があります。
↑上に戻る